Valutazione specialistica per dolore pelvico
Inquadramento diagnostico e definizione del percorso terapeutico personalizzato per dolore pelvico cronico, sospetta endometriosi, vulvodinia e vaginismo.
Cos'è e a cosa serve
La valutazione specialistica per dolore pelvico è un percorso diagnostico completo dedicato alle pazienti che presentano dolore pelvico cronico, sospetta endometriosi, vulvodinia o vaginismo. Essa si basa su un approccio diagnostico multidisciplinare secondo le più recenti evidenze scientifiche, con l'obiettivo di ridurre i tempi di diagnosi e offrire un trattamento personalizzato. Quando indicato, possono essere eseguiti tamponi vaginali microbiologici per escludere cause infettive o valutare alterazioni del microbiota vaginale.
Come si svolge
A chi è rivolta
Vantaggi
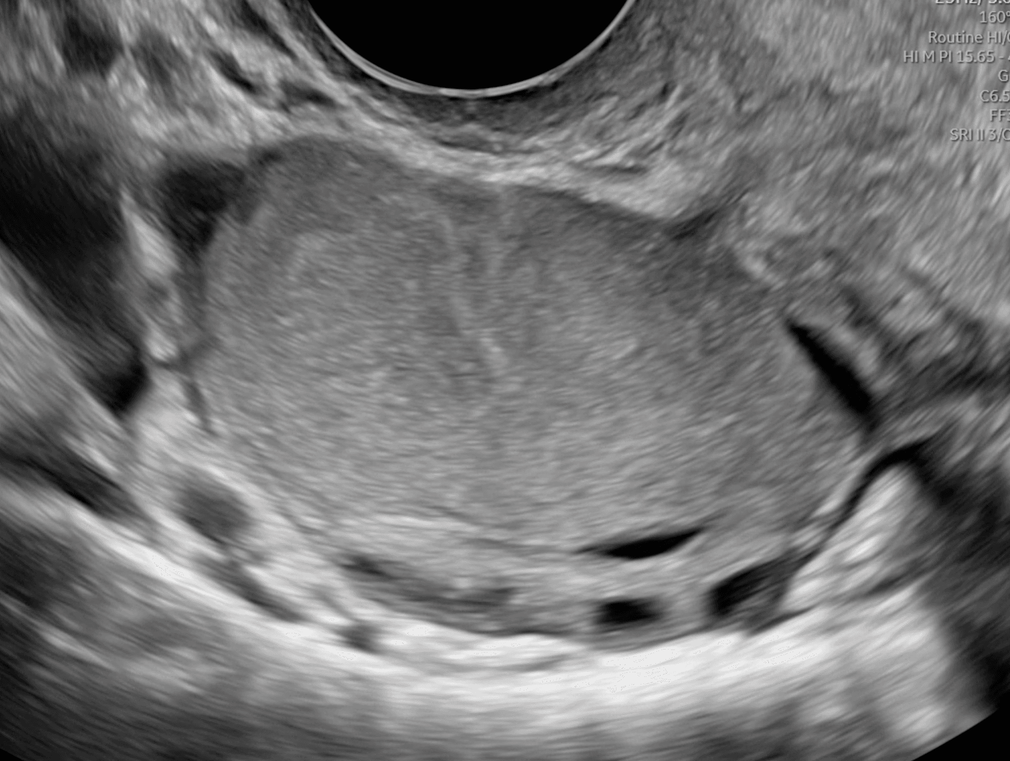
Immagini diagnostiche

Cisti endometriosica (endometrioma ovarico)
Ecografia transvaginale che mostra una cisti ovarica endometriosica (o endometrioma). Si osservano alcuni follicoli ovarici, che dimostrano un tessuto ovarico sano attorno alla cisti.
Hai bisogno di questa prestazione?
Prenota una visita per una valutazione personalizzata a Genova o Chiavari
Prenota una visita